
Ecografia mamară este una dintre cele mai importante metode imagistice pentru evaluarea sânului, iar atunci când este completată de elastografie, oferă informații suplimentare despre natura leziunilor.
Ce este elastografia mamară?
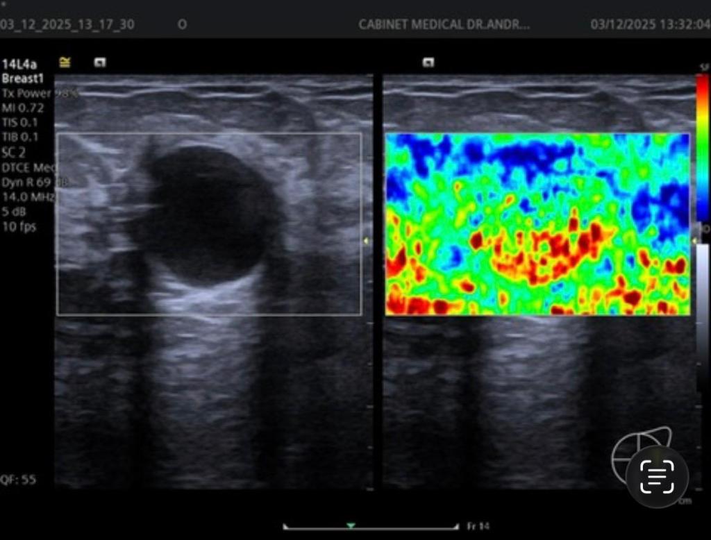
Elastografia este o tehnică modernă care măsoară rigiditatea țesuturilor. În termeni simpli, ne ajută să „simțim” ecografic cât de dură sau moale este o formațiune mamară – similar cu ceea ce medicul încearcă să aprecieze prin palpare, dar mult mai precis.
De ce este importantă?
Leziunile benigne sunt, în general, mai moi, în timp ce leziunile maligne tind să fie mai rigide. Prin elastografie, putem:
- crește acuratețea diagnosticului ecografic
- reduce numărul de biopsii inutile
- diferenția mai bine leziunile suspecte
- monitoriza evoluția unor formațiuni în timp
Cum se desfășoară investigația?
Examinarea este complet nedureroasă și se realizează în cadrul unei ecografii mamare standard. Nu necesită pregătire specială și nu implică radiații.
Avantajele principale
- metodă neinvazivă și sigură
- rezultat imediat
- crește încrederea în diagnosticul imagistic
- ghid util în decizia de urmărire sau biopsie
De ce să alegi o evaluare completă?
O ecografie mamară realizată corect, integrată cu elastografie și interpretată de un medic specializat în senologie, oferă o imagine mult mai fidelă asupra sănătății sânului.
Programeazã-te la o ecografie mamarã + elastografie
Clinica de Imagisticã şi Senologie Dr.Andra URSU
0757 23 23 55
#iasi #senologie #senologieiasi #senolgiasi #ecografie #ecografiemamaraiasi #ecografiemamara #ecografiesani #ecografiesaniiasi #cabinetmedical #cabinetsenologie #clinicasenologie #clinicamedicala #drursu #drandraursu #elastografie #elastografieiasi #ecografiemamaracuelastografie #mastozachistica #chisturimamare #fibroadenom #consultsenologic #cancerdesan #cancermamar #evaluareelastografica #programează-telaecografie #consultatiesenologie #mamografie #irmmamar #drandraursu #senologieimagistica #vaslui #piatraneamt #Botoșani #suceava #Huși #Bârlad #aroneanu #tomesti #tătărași #consultaiemedicala #sani #alaptare #ecografiemamarafemei
Lasă un comentariu